Brackets o Aparatos Dentales en Morón de la Frontera

En Clínica Román Mesa ofrecemos tratamientos de ortodoncia con brackets para corregir la alineación dental y mejorar la salud bucodental de nuestros pacientes. Los brackets son aparatos fijos altamente eficaces que permiten corregir malposiciones dentales, apiñamientos u otras irregularidades para lograr una sonrisa más armónica y funcional.

¿Qué son los brackets?

Los brackets son pequeños dispositivos fijados a los dientes que, mediante la aplicación controlada de fuerzas a través de arcos metálicos, van moviendo los dientes hacia la posición correcta. Su uso es un pilar tradicional de la ortodoncia y continúa siendo una solución sólida en muchos casos gracias a su eficacia y durabilidad.

Tipos de brackets

  • Brackets metálicos
  • Brackets de zafiro

  • Brackets linguales

  • Invisibles

Beneficios del tratamiento con brackets

Alineación dental precisa
Permite corregir maloclusiones (mala mordida), dientes apiñados o separados, y mejorar la relación entre las piezas dentales.

Funcionalidad mejorada
Una correcta alineación facilita la masticación, evita desgastes irregulares y favorece una mejor salud oral.

Mayor confianza al sonreír
Una sonrisa bien alineada no solo se ve mejor, sino que también contribuye a tu bienestar y autoestima.

¿Cómo trabajamos en Clínica Román Mesa?

En nuestra clínica combinamos experiencia profesional, diagnóstico personalizado y tecnología avanzada para diseñar el plan de ortodoncia más adecuado a tus necesidades. El equipo especializado evalúa cada caso y te asesora sobre el tipo de aparato más apropiado según tu caso clínico.

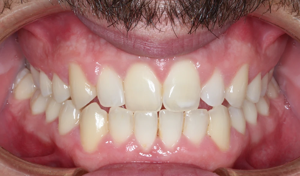
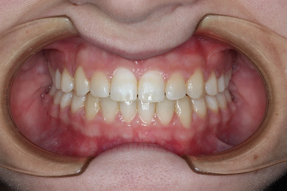
Casos reales de ortodoncia con brackets

IMG_0891 copia IMG_4441 copia
IMG_0892 copia IMG_4442 copia
IMG_9782 copia IMG_1911 copia
IMG_9783 copia IMG_1912 copia

Preguntas frecuentes

La colocación es indolora; puede haber alguna molestia leve al iniciar el tratamiento.

La duración varía según la complejidad de cada caso, pero en general oscila entre 12 y 24 meses.

Primera Consulta